
二氧化锆的优点
二氧化锆烤瓷牙是自然界中以斜锆石存在的一种矿物。医用氧化锆经过清洁加工,在锆中保留的少量α射线的残余,其穿透深度很小,仅60微米。
二氧化锆烤瓷牙密度和强度很高。
(1)强度比EMPRESS二代高1.5倍。
(2)强度比INCERAM氧化锆高60%以上。
(3)独一无二的抗破裂性及破裂后强韧的固化性能。
(4)可制作6个单位以上的烤瓷桥,解决了所有全瓷系统不能做长桥的问题。
二氧化锆烤瓷牙,牙齿颜色的自然感觉和不明显的牙冠边缘也是采用二氧化锆全瓷修复所带来的好处。尤其是对美观要求高的患者更加重视其色泽自然这个优点,因为这样就使修复体同健康牙齿浑然一体,很难区分了。
您知道吗?如果您口腔中镶嵌的假牙是含金属的烤瓷冠,在您需要做头颅x线、CT、核磁共振检查时,将会受到影响甚至拆除。非金属的二氧化锆对x线却无任何阻挡,只要镶入二氧化锆烤瓷牙,日后需头颅x线、CT、核磁共振检查时都不需要拆掉假牙,省去很多麻烦。
二氧化锆烤瓷牙是一种很优秀的高科技生物材料。生物相容性好,优于各种金属合金,包括黄金。二氧化锆对牙龈无刺激、无过敏反应,很适合应用于口腔,避免了金属在口腔内产生的过敏、刺激、腐蚀等不良反应。
二氧化锆烤瓷牙材料与其它全瓷修复材料相比其强度上的优势使医生不用过多的磨除患者的真牙,就能达到极高的强度,其中Vita全瓷加钇加稳氧化锆更是号称陶瓷钢铁
二氧化锆烤瓷牙具有极高的品质,说其品质高不仅因为其材料,设备昂贵,更因为其运用了当今最先进的计算机辅助设计、激光扫描,再由计算机程序控制研磨制作而成,尽显完美。
因为牙齿阻碍了手术进展?
到底发生了什么事?
据知情网友透漏
一患者因颅颈外伤深度昏迷需要手术
术前需要做磁共振
要求拆除4,5金属冠!
(影响磁共振成像质量)
由于气管插管,不能上牙椅
患者口腔里的 两个金属牙套
很难拆除!
此病例引起更多口腔医生重视,
广大牙病患者在选择做金属牙套和全瓷牙套时,
应首选不影响磁共振 !
不影响拍CT!不影响X射线!
患者需要深思熟虑远端带来的后患!
阻碍磁共振等同于
无法第一时间抢救生命!分秒必争!
于是,当广大牙病患者在选择做金属牙套和全瓷牙套时,医生大多会建议,应首选不影响磁共振、不影响拍CT、不影响X射线的材料。
最靠谱的选择 二氧化锆全瓷牙
今天,就给大家讲解一下氧化锆全瓷牙那些事。
为什么建议做二氧化锆全瓷牙?
长期以来,烤瓷牙一直是一种快速、有效的修复牙齿的一种方法。
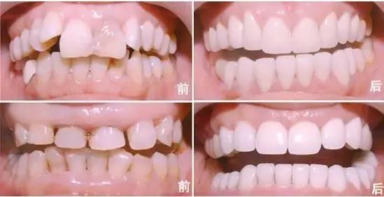
但金属烤瓷牙的金属离子会对人体产生不良反应,如牙龈发黑、牙龈出血萎缩等...
因金属內冠的存在,透光性、色泽和形态与自然牙存在较大的区别,更会在灯光下产生青灰色的效果。
同时金属瓷牙在液体口腔酸碱环境细菌作用下不稳定,在做CT核磁共振时金属有一定的干扰。
因此口腔医疗界一直在努力改变这一状态,目前国际口腔界流行的是一种最新的无金属內冠的烤瓷牙——氧化锆全瓷系列。
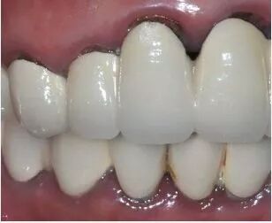
金属烤瓷牙边缘发黑▼
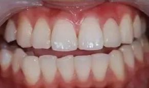
氧化锆全瓷牙相较自然▲
氧化锆是否安全?
医用与牙科使用的氧化锆在生物安全性方面表现均非常出色。
多年来,大量实验与临床病例证明氧化锆对骨、软组织细胞均无毒性损害,也未见过敏反应报道。
1.氧化锆有时会被误认为是金属的一种
这是混淆了金属元素和金属的化学概念,氧化锆并非锆金属或锆石,虽然含有金属元素,但是却是氧化物陶瓷。这如同氯化钠(食盐的化学成分)与金属钠的区别。
2.有人担心氧化锆是否有放射性
实际上氧化锆来源的锆石,需要经过提纯处理,粉体加工等多个步骤,加工过程会去除所有的杂质。
国家食品、药品监督管理总局标准对上市的所有陶瓷材料有严格的标准,只有满足放射性实验要求后才可作为医用材料。
而且不仅仅对氧化锆有要求,对饰瓷、氧化铝、玻璃陶瓷等也有同样的放射性合格要求。
实验表明纯氧化锆粉体放射性不仅小于玻璃陶瓷,甚至低于人类骨组织。
氧化锆修复体崩瓷率高吗?
大量研究表明,氧化锆的崩瓷发生率并没有传统烤瓷修复体高。研究发现氧化锆的崩瓷主要发生于饰瓷内部而非饰瓷与氧化锆基底冠界面。
而引发崩瓷发生的主要原因有三方面:
底冠形态设计不良,局部表面饰瓷过厚;
饰瓷烧结时未按标准进行温度控制,比如快速冷却;
医生调颌后未进行合理的处理,比如再上釉烧结,或者标准三步抛光等...这都是必须的步骤。
(上述三个原因,只要你选择正规医院和有经验的医生,是完全可以避免的,大家尽可放心!)
1.辐射小
氧化锆是自然界中以斜锆石存在的一种矿物。医用氧化锆经过清洁加工,在锆中保留的少量α射线的残余,其穿透深度很小,仅60微米。
2.密度大、强度高、无金属内冠
独一无二的抗破裂性及破裂后强韧的固化性能,可制作6个单位以上的烤瓷桥,解决了所有全瓷系统不能做长桥的问题。
虽无金属支撑,但是具有较高的强度,折光率基本接近自然牙,边缘密和精度高,具有极佳的美学效果:
二氧化锆陶瓷是钇稳定的氧化锆陶瓷,具有很高的抗弯强度,目前通过国内注册的材料强度都达到900MPa,而国家牙科材料的标准为100MPa。
二氧化锆材料与其它全瓷修复材料相比其强度上的优势使医生不用过多的磨除患者的真牙,就能达到极高的强度,其中Vita全瓷加钇加稳氧化锆更是号称陶瓷钢铁。
3.美学效果优异
成功的全瓷牙修复外表逼真美观、坚固耐磨,色泽近似于天然牙,生物相容性良好,不刺激口腔组织,容易清洁,既能回复牙齿的功能,又有美容的作用。
最主要的是全瓷牙具有良好的透明性和折光性,不会在牙颈部出现黑线,使牙颈部也能达到良好的美观效果,这是一般烤瓷牙无法比拟的。
4.可靠性最强
无金属异味,与空气、水或其它任何电解质接触时会迅速产生微氧化膜,不仅避免金属腐蚀,更能防止金属异味的产生。
另外,非金属的二氧化锆对X线却无任何阻挡,只要镶入二氧化锆烤瓷牙,日后做头颅X线、CT、核磁共振检查时都不需要拆掉假牙,省去很多麻烦。
5.生物相容性好
二氧化锆是一种很优秀的高科技生物材料,生物相容性好,优于各种金属合金,包括黄金。
二氧化锆对牙龈无刺激、无过敏反应很适合应用于口腔,避免了金属在口腔内产生的过敏、刺激、腐蚀等不良反应。
二氧化锆全瓷牙不仅因为其材料,设备昂贵,更因为其运用了当今最先进的计算机辅助设计、激光扫描,再由计算机程序控制研磨制作而成。
它保证了模内冠的精确性和优良的边缘密闭性,使做出来的瓷牙与患者口内基牙非常贴合,大大减少了修复后牙根炎的发病率。
除了价格较贵外,二氧化锆全瓷牙相对于其他所有同类修复方法没有任何明显的缺点。
总的来说,二氧化锆材料制作的烤瓷牙是目前国内国际最好的烤瓷牙,其材料本身没什么缺点。
曾经网上盛传的一句话“您是需要买一颗烤瓷牙,还是需要一位好牙医?”,即是说烤瓷牙对医师的技术和各方面设备都有很高的要求,因此做二氧化锆烤瓷牙一定要选择有实力的诊所或医院,只有这样才能达到最佳的修复效果。
兴旺口腔 到这里去


